Chảy máu nướu khi đánh răng là tình trạng nhiều người từng gặp, nhưng lại thường bị xem nhẹ. Bài viết này giúp bạn nhận biết 7 dấu hiệu viêm nướu sớm nhất, hiểu nguyên nhân gây bệnh, và biết cách xử lý trước khi tình trạng tiến triển thành viêm nha chu không thể hồi phục.
Mục lục
- Viêm nướu là gì? Khác gì viêm nha chu?
- 7 dấu hiệu viêm nướu bạn không nên bỏ qua?
- Nguyên nhân nào gây viêm nướu răng?
- Viêm nướu ảnh hưởng sức khỏe toàn thân như thế nào?
- Cách điều trị viêm nướu tại phòng khám và tại nhà?
- Phòng ngừa viêm nướu hiệu quả bằng cách nào?
- Câu hỏi thường gặp về viêm nướu
- Kết luận: Đừng đợi đến khi quá muộn
| Điểm chính • 90% người Việt mắc bệnh răng miệng, viêm nướu là bệnh lý phổ biến nhất (Bộ Y tế Việt Nam). • Viêm nướu giai đoạn đầu có thể hồi phục hoàn toàn nếu phát hiện kịp thời. • Viêm nha chu tăng nguy cơ bệnh tim mạch và tiểu đường type 2. • 7 dấu hiệu tự kiểm tra giúp bạn phát hiện viêm nướu tại nhà. • Phòng ngừa hiệu quả chỉ cần 3 thói quen đơn giản mỗi ngày. |
|---|
Viêm nướu là gì? Khác gì viêm nha chu?
Viêm nướu ảnh hưởng khoảng 3,5 tỷ người trên toàn thế giới, theo báo cáo của Tổ chức Y tế Thế giới (WHO, 2022). Đây là tình trạng viêm nhiễm ở mô nướu bao quanh chân răng, thường do vi khuẩn trong mảng bám (plaque) gây ra. Tin tốt là viêm nướu hoàn toàn có thể hồi phục nếu được xử lý đúng cách.
Viêm nướu: Giai đoạn đầu có thể đảo ngược
Viêm nướu xảy ra khi mảng bám tích tụ dọc bờ nướu răng. Vi khuẩn trong mảng bám tiết ra độc tố, kích thích phản ứng viêm của cơ thể. Nướu trở nên đỏ, sưng và dễ chảy máu.
Ở giai đoạn này, xương và mô liên kết nâng đỡ răng chưa bị tổn thương. Do đó, với việc vệ sinh đúng cách và điều trị kịp thời, nướu có thể trở về trạng thái khỏe mạnh hoàn toàn. Đây là điều mà nhiều người không biết, dẫn đến việc bỏ lỡ thời điểm vàng để can thiệp.
Viêm nha chu: Khi đã quá muộn để đảo ngược

Mảng bám và cao răng tích tụ lâu ngày là nguyên nhân chính dẫn đến viêm nha chu và tổn thương mô nâng đỡ răng.
Nếu viêm nướu không được điều trị, bệnh tiến triển thành viêm nha chu. Ở giai đoạn này, vi khuẩn tấn công sâu hơn, phá hủy xương ổ răng và mô liên kết. Răng bắt đầu lung lay, túi nha chu hình thành và có thể dẫn đến mất răng vĩnh viễn.
Khác biệt lớn nhất là gì? Viêm nướu có thể hồi phục 100%. Viêm nha chu chỉ có thể kiểm soát, không thể đảo ngược hoàn toàn. Đây là lý do việc phát hiện sớm viêm nướu quan trọng đến vậy.
| Viêm nướu là giai đoạn đầu của bệnh nha chu, ảnh hưởng 3,5 tỷ người trên toàn cầu theo WHO (2022). Khác với viêm nha chu gây mất xương vĩnh viễn, viêm nướu có thể hồi phục hoàn toàn nếu điều trị kịp thời, khiến việc nhận biết dấu hiệu sớm trở thành yếu tố quyết định. |
|---|
7 dấu hiệu viêm nướu bạn không nên bỏ qua?
Theo Bộ Y tế Việt Nam, 90% người dân mắc bệnh răng miệng nhưng đa số chỉ đi khám khi đã đau hoặc mất răng (Bộ Y tế Việt Nam). Dưới đây là 7 dấu hiệu tự kiểm tra giúp bạn phát hiện viêm nướu từ giai đoạn sớm nhất. Nếu bạn có từ 2 dấu hiệu trở lên, hãy đặt lịch khám nha khoa ngay.
1. Nướu chảy máu khi đánh răng hoặc dùng chỉ nha khoa
Đây là dấu hiệu phổ biến nhất và cũng là dấu hiệu bị bỏ qua nhiều nhất. Nướu khỏe mạnh không bao giờ chảy máu khi đánh răng bình thường. Nếu bạn thấy máu trên bàn chải hoặc khi nhổ ra, đó là tín hiệu rõ ràng của viêm nướu.
Nhiều người nghĩ chảy máu nướu là do “đánh mạnh quá”. Thật ra, nướu bị viêm sẽ sưng lên và rất dễ tổn thương ngay cả với lực nhẹ. Đừng bỏ qua dấu hiệu này.
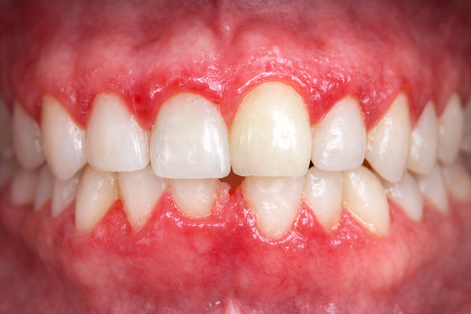
2. Nướu đỏ, sưng hoặc mềm hơn bình thường

Nướu đỏ, sưng và dễ chảy máu là dấu hiệu điển hình của viêm nướu ở giai đoạn sớm
Nướu khỏe mạnh có màu hồng nhạt, bám sát vào răng và có độ cứng nhất định. Khi bị viêm, nướu chuyển sang màu đỏ đậm hoặc đỏ tía, sưng phồng và mềm nhũn khi chạm vào.
Bạn hãy tự kiểm tra bằng cách nhìn vào gương. So sánh màu nướu của bạn với màu hồng san hô, đó là màu nướu khỏe mạnh. Nếu nướu bạn đỏ hơn đáng kể, đây là dấu hiệu cần chú ý.
3. Hôi miệng kéo dài dù đã vệ sinh răng
Hôi miệng do viêm nướu khác với hôi miệng thông thường. Vi khuẩn tích tụ trong túi nướu và mảng bám tiết ra hợp chất lưu huỳnh, tạo ra mùi khó chịu mà việc đánh răng đơn thuần không thể loại bỏ.
Nếu bạn đã đánh răng đều đặn, dùng nước súc miệng mà hôi miệng vẫn không hết, viêm nướu có thể là thủ phạm. Đây là dấu hiệu nhiều người không liên tưởng đến bệnh nướu răng.
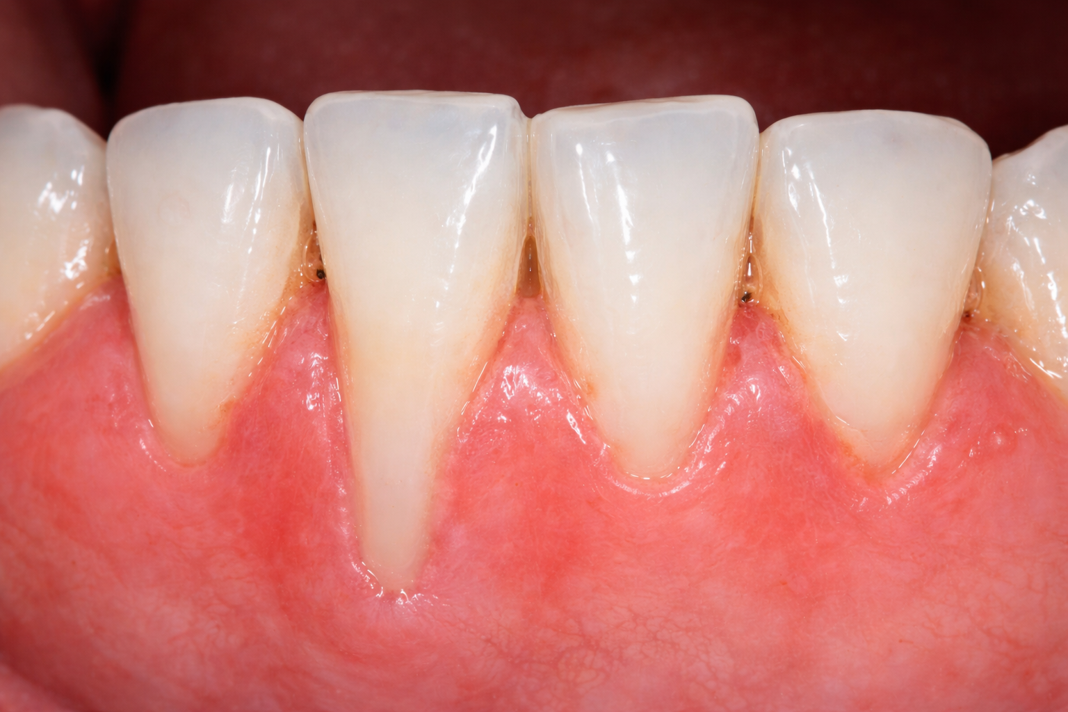
4. Nướu tụt xuống, răng nhìn dài hơn

Tụt nướu là dấu hiệu cho thấy mô bảo vệ răng đang suy yếu dần theo thời gian
Khi nướu bị viêm kéo dài, mô nướu bắt đầu co lại và tụt xuống, để lộ phần chân răng. Răng trông “dài hơn” bình thường. Đây là dấu hiệu viêm nướu đã ở giai đoạn tiến triển.
5. Nướu nhạy cảm với thức ăn nóng hoặc lạnh
Nướu bị viêm thường nhạy cảm hơn với nhiệt độ. Khi uống nước nóng hoặc ăn đồ lạnh, bạn có thể cảm thấy ê buốt hoặc đau nhẹ ở vùng nướu. Đây là do phần chân răng bị lộ ra khi nướu tụt, mất lớp bảo vệ tự nhiên.
Đừng nhầm lẫn với nhạy cảm răng thông thường. Nếu cảm giác ê buốt tập trung ở vùng nướu chứ không phải mặt răng, viêm nướu là nguyên nhân có thể.
6. Nướu có mủ hoặc sưng cục bộ
Khi viêm nướu nặng hơn, có thể hình thành áp xe nướu, là túi mủ nhỏ ở bờ nướu. Bạn có thể thấy sưng cục bộ, đau nhói và có vị mặn trong miệng. Đây là dấu hiệu cần gặp nha sĩ ngay lập tức.
Áp xe nướu không tự hết và có thể lan sang các cơ quan lân cận nếu không điều trị. Đừng tự ý nặn mủ hoặc tự dùng thuốc kháng sinh mà không có chỉ định của bác sĩ.
7. Răng lung lay hoặc thay đổi vị trí

Khi răng bắt đầu lung lay, cho thấy bệnh đã ảnh hưởng đến xương và cấu trúc giữ răng
Đây là dấu hiệu nghiêm trọng nhất, cho thấy viêm nướu có thể đã tiến triển thành viêm nha chu. Khi xương và mô nâng đỡ răng bị tổn thương, răng mất đi sự vững chắc và bắt đầu lung lay.
Nếu bạn cảm thấy răng “di chuyển” khi cắn hoặc nhai, hãy đến gặp nha sĩ ngay. Càng để lâu, nguy cơ mất răng càng cao.
| 90% người Việt mắc bệnh răng miệng nhưng đa số chỉ đi khám khi triệu chứng đã nặng, theo Bộ Y tế Việt Nam. Bảy dấu hiệu tự kiểm tra bao gồm chảy máu nướu, nướu đỏ sưng, hôi miệng kéo dài và răng lung lay, giúp phát hiện viêm nướu từ giai đoạn có thể hồi phục. |
|---|
Nguyên nhân nào gây viêm nướu răng?

Viêm nướu thường bắt nguồn từ những thói quen chăm sóc răng miệng chưa đúng cách
Mảng bám răng (plaque) là nguyên nhân số một gây viêm nướu, theo Hiệp hội Nha khoa Hoa Kỳ (ADA, 2024). Mảng bám hình thành liên tục trên bề mặt răng và nếu không được loại bỏ trong vòng 24-72 giờ, nó cứng thành cao răng, tạo môi trường lý tưởng cho vi khuẩn gây viêm.
Nguyên nhân trực tiếp
- Vệ sinh răng miệng không đúng cách là nguyên nhân phổ biến nhất. Đánh răng không đủ 2 phút, không dùng chỉ nha khoa hoặc bỏ qua vùng kẽ răng đều tạo điều kiện cho mảng bám tích tụ.
- Cao răng (tartar) hình thành khi mảng bám không được làm sạch. Cao răng bám chặt vào chân răng, không thể loại bỏ bằng bàn chải thông thường. Chỉ nha sĩ mới có thể lấy sạch cao răng bằng dụng cụ chuyên dụng.
- Thay đổi nội tiết tố trong thai kỳ, dậy thì hoặc mãn kinh làm tăng lưu lượng máu đến nướu, khiến nướu nhạy cảm hơn với vi khuẩn. Viêm nướu thai kỳ là tình trạng rất phổ biến, ảnh hưởng 60-75% phụ nữ mang thai.
Yếu tố làm tăng nguy cơ
- Hút thuốc lá giảm lưu lượng máu đến nướu, làm suy yếu hệ miễn dịch tại chỗ và cản trở quá trình lành thương. Người hút thuốc có nguy cơ viêm nướu cao gấp 2-3 lần người không hút.
- Tiểu đường làm tăng nồng độ đường trong nước bọt, tạo điều kiện cho vi khuẩn phát triển mạnh hơn. Đồng thời, tiểu đường làm giảm khả năng chống nhiễm trùng của cơ thể.
- Thiếu dinh dưỡng, đặc biệt là thiếu vitamin C, làm suy yếu mô nướu và giảm khả năng tự phục hồi. Một chế độ ăn thiếu rau xanh và trái cây trực tiếp ảnh hưởng đến sức khỏe nướu răng.
- Thuốc men như thuốc chống đông máu, thuốc trị động kinh hoặc thuốc ức chế miễn dịch có thể gây tăng sản nướu (nướu phát to) hoặc giảm tiết nước bọt, tăng nguy cơ viêm nướu.
Viêm nướu ảnh hưởng sức khỏe toàn thân như thế nào?
Viêm nướu không chỉ là vấn đề trong miệng. Nghiên cứu từ Hiệp hội Tim mạch Hoa Kỳ cho thấy bệnh nha chu làm tăng đáng kể nguy cơ mắc bệnh tim mạch (AHA, 2025). Vi khuẩn từ nướu bị viêm có thể xâm nhập vào máu và gây viêm nhiễm ở nhiều cơ quan khác trong cơ thể.
Viêm nướu và bệnh tim mạch
Vi khuẩn từ túi nướu bị viêm xâm nhập vào mạch máu và di chuyển khắp cơ thể. Chúng có thể bám vào thành mạch máu, góp phần hình thành mảng xơ vữa động mạch. Quá trình này làm tăng nguy cơ nhồi máu cơ tim và đột quỵ.
Hiệp hội Tim mạch Hoa Kỳ (AHA) đã công nhận mối liên hệ giữa bệnh nha chu và bệnh tim mạch sau nhiều nghiên cứu lớn. Điều này không có nghĩa viêm nướu trực tiếp gây bệnh tim, nhưng nó là một yếu tố nguy cơ không nên bỏ qua.
Viêm nướu và bệnh tiểu đường
Mối quan hệ giữa viêm nướu và tiểu đường là hai chiều. Người mắc tiểu đường có nguy cơ bị viêm nướu cao hơn do khả năng miễn dịch suy giảm, trong khi tình trạng viêm nướu kéo dài cũng có thể ảnh hưởng tiêu cực đến việc kiểm soát đường huyết.
Một nghiên cứu đăng trên ScienceDirect chỉ ra rằng vệ sinh răng miệng kém có thể làm tăng nguy cơ mắc tiểu đường type 2 lên 44% (ScienceDirect, 2025). Viêm mạn tính từ nướu răng có thể làm rối loạn quá trình kiểm soát đường huyết, tạo vòng xoắn nguy hiểm cho những người đã có nguy cơ tiểu đường.
Viêm nướu và sức khỏe thai kỳ
Phụ nữ mang thai bị viêm nướu nặng có nguy cơ sinh non và sinh con nhẹ cân cao hơn. Vi khuẩn và chất gây viêm từ nướu có thể đi qua nhau thai, ảnh hưởng đến sự phát triển của thai nhi.
Do đó, khám nướu răng nên là một phần trong quy trình chăm sóc thai kỳ. Việc điều trị viêm nướu trong thai kỳ là an toàn và được khuyến khích bởi các tổ chức y tế.
Bạn có bao giờ nghĩ rằng một vấn đề nhỏ như chảy máu nướu lại có thể liên quan đến sức khỏe tim mạch hay không? Thực tế cho thấy sức khỏe răng miệng là gương phản chiếu sức khỏe toàn thân.
| Bệnh nha chu làm tăng nguy cơ bệnh tim mạch theo Hiệp hội Tim mạch Hoa Kỳ (AHA, 2025), và vệ sinh răng miệng kém tăng 44% nguy cơ tiểu đường type 2 (ScienceDirect, 2025). Viêm nướu không chỉ là vấn đề trong miệng mà là yếu tố nguy cơ của nhiều bệnh lý toàn thân nghiêm trọng. |
|---|
Cách điều trị viêm nướu tại phòng khám và tại nhà?

Viêm nướu có thể được điều trị hiệu quả nếu phát hiện sớm và xử lý đúng cách
Viêm nướu giai đoạn đầu có thể hồi phục hoàn toàn, theo Hiệp hội Nha khoa Hoa Kỳ (ADA, 2024). Điều kiện tiên quyết là phát hiện sớm và kết hợp điều trị chuyên khoa với chăm sóc tại nhà đúng cách. Càng xử lý sớm, kết quả càng tốt và chi phí càng thấp.
Điều trị tại phòng khám nha khoa
- Lấy cao răng và làm sạch chuyên sâu là bước điều trị cơ bản nhất. Nha sĩ sử dụng dụng cụ siêu âm để loại bỏ cao răng và mảng bám ở trên và dưới đường viền nướu. Thủ thuật này mất khoảng 30-45 phút và thường không gây đau.
- Bào trơn gốc răng (root planing) là thủ thuật làm nhẵn mặt chân răng, giúp nướu bám lại vào răng chặt hơn và giảm không gian cho vi khuẩn trú ẩn. Thủ thuật này thường áp dụng khi cao răng đã tích tụ sâu dưới đường viền nướu.
- Điều trị bằng thuốc bao gồm nước súc miệng kháng khuẩn (chlorhexidine), gel kháng sinh bôi tại chỗ, hoặc thuốc uống trong trường hợp nhiễm trùng nặng. Nha sĩ sẽ kê đơn cụ thể tùy theo mức độ viêm.
- Tái khám định kỳ sau điều trị là bắt buộc. Thường là sau 2-4 tuần để đánh giá hiệu quả và sau đó mỗi 3-6 tháng để duy trì kết quả.
Cách trị viêm nướu hỗ trợ tại nhà
- Đánh răng đúng kỹ thuật là nền tảng của mọi phương pháp điều trị. Sử dụng bàn chải lông mềm, đặt nghiêng 45 độ so với đường viền nướu và chải nhẹ theo chuyển tròn. Đánh ít nhất 2 lần mỗi ngày, mỗi lần 2 phút.
- Dùng chỉ nha khoa hoặc bàn chải kẽ răng mỗi ngày để loại bỏ mảng bám ở kẽ răng, nơi bàn chải không vươn tới. Đây là bước nhiều người Việt bỏ qua nhưng lại có hiệu quả lớn nhất trong việc phòng ngừa viêm nướu tái phát.
- Súc miệng bằng nước muối ấm (1/2 muỗng cà phê muối pha trong 1 ly nước ấm) giúp giảm viêm và sát khuẩn nhẹ. Súc 2-3 lần mỗi ngày, đặc biệt sau bữa ăn.
- Nước súc miệng kháng khuẩn có chứa chlorhexidine hoặc tinh dầu có thể sử dụng bổ sung, nhưng không thay thế được việc đánh răng và dùng chỉ nha khoa.
- Liệu bạn đang đánh răng đủ lâu và đúng cách chưa? Nhiều người chỉ đánh răng dưới 1 phút, trong khi thời gian tối thiểu là 2 phút để loại bỏ hiệu quả mảng bám.
| Viêm nướu giai đoạn đầu có thể hồi phục hoàn toàn theo ADA (2024), với điều kiện kết hợp điều trị chuyên khoa và chăm sóc tại nhà. Lấy cao răng chuyên sâu là bước cơ bản, kết hợp đánh răng đúng kỹ thuật 2 phút mỗi lần và dùng chỉ nha khoa hằng ngày. |
|---|
Phòng ngừa viêm nướu hiệu quả bằng cách nào?

Duy trì thói quen chăm sóc răng miệng và khám định kỳ giúp phòng ngừa viêm nướu hiệu quả
Phòng ngừa luôn hiệu quả hơn chữa bệnh. Theo WHO, 3,5 tỷ người mắc bệnh răng miệng toàn cầu, nhưng phần lớn các trường hợp có thể phòng tránh được bằng các biện pháp vệ sinh cơ bản (WHO, 2022). Chỉ cần duy trì 3 thói quen đơn giản, bạn có thể giảm đáng kể nguy cơ viêm nướu.
Thói quen 1: Vệ sinh răng miệng đúng cách mỗi ngày
Đánh răng 2 lần mỗi ngày với kem đánh răng có fluoride. Sử dụng chỉ nha khoa hoặc bàn chải kẽ răng ít nhất 1 lần mỗi ngày. Đây là nền tảng không thể thay thế.
Thời điểm quan trọng nhất là trước khi đi ngủ. Ban đêm, lượng nước bọt giảm mạnh, tạo môi trường thuận lợi cho vi khuẩn hoạt động. Nếu chỉ đánh răng một lần trong ngày, hãy chọn buổi tối.
Thói quen 2: Khám răng định kỳ mỗi 6 tháng
Khám răng định kỳ giúp phát hiện viêm nướu từ giai đoạn sớm nhất, khi chưa có triệu chứng rõ ràng. Nha sĩ sẽ lấy cao răng, kiểm tra túi nướu và tư vấn cách chăm sóc phù hợp với tình trạng của bạn.
Người có yếu tố nguy cơ cao (tiểu đường, hút thuốc, mang thai) nên khám mỗi 3-4 tháng thay vì chờ đủ 6 tháng.
Thói quen 3: Chế độ ăn tốt cho nướu răng
Chế độ ăn uống đóng vai trò quan trọng trong việc duy trì sức khỏe nướu răng. Rau xanh, trái cây giàu vitamin C và các thực phẩm giàu canxi giúp tăng cường sức đề kháng cho mô nướu. Ngược lại, bạn nên hạn chế đường và các loại thức ăn dễ bám dính, đặc biệt là thói quen ăn vặt giữa các bữa chính.
Uống đủ nước cũng quan trọng, bởi nước giúp rửa trôi mảnh vụn thức ăn và duy trì lượng nước bọt, cơ chế bảo vệ tự nhiên của khoang miệng.
Một hiểu lầm phổ biến là cho rằng nước súc miệng có thể thay thế chỉ nha khoa. Trên thực tế, nước súc miệng chỉ mang tính hỗ trợ và không thể loại bỏ mảng bám ở kẽ răng. Để làm sạch hiệu quả những vùng này, chỉ nha khoa vẫn là lựa chọn cần thiết.
| Theo WHO (2022), 3,5 tỷ người mắc bệnh răng miệng toàn cầu nhưng phần lớn có thể phòng ngừa bằng vệ sinh cơ bản. Ba thói quen cốt lõi bao gồm đánh răng đúng cách 2 lần mỗi ngày, khám răng định kỳ mỗi 6 tháng và chế độ ăn giàu vitamin C và canxi. |
|---|
Câu hỏi thường gặp về viêm nướu
Viêm nướu có tự hết không?
Viêm nướu giai đoạn rất sớm có thể cải thiện khi bạn thay đổi cách vệ sinh răng miệng. Tuy nhiên, hầu hết trường hợp cần sự can thiệp của nha sĩ, đặc biệt là lấy cao răng. Theo ADA, việc tự điều trị tại nhà mà không khám nha sĩ có thể khiến bệnh tiến triển thành viêm nha chu, gây tổn thương vĩnh viễn. Lời khuyên là hãy đến nha sĩ để được đánh giá chính xác.
Viêm nướu có lây không?
Vi khuẩn gây viêm nướu có thể lây truyền qua nước bọt, ví dụ khi hôn hoặc dùng chung dụng cụ ăn uống. Tuy nhiên, việc có phát triển thành bệnh hay không phụ thuộc vào hệ miễn dịch và thói quen vệ sinh của từng người. Người có sức đề kháng tốt và vệ sinh răng miệng đúng cách ít có nguy cơ mắc bệnh dù tiếp xúc vi khuẩn.
Trẻ em có bị viêm nướu không?
Trẻ em hoàn toàn có thể bị viêm nướu, đặc biệt trong giai đoạn thay răng và dậy thì. Tỷ lệ sâu răng sữa ở trẻ 6-8 tuổi lên đến 85% tại Việt Nam (Bộ Y tế Việt Nam), và viêm nướu thường đi kèm. Cha mẹ nên hướng dẫn trẻ đánh răng đúng cách và đưa trẻ đi khám răng từ 1-2 tuổi.
Điều trị viêm nướu có đau không?
Lấy cao răng và bào trơn gốc răng thường chỉ gây khó chịu nhẹ, không đau đáng kể. Với trường hợp nướu viêm nặng, nha sĩ có thể sử dụng gel tê tại chỗ để giảm cảm giác. Sau điều trị, nướu có thể hơi nhạy cảm trong 1-2 ngày nhưng sẽ nhanh chóng hồi phục.
Viêm nướu bao lâu thì khỏi?
Với viêm nướu nhẹ, nướu có thể hồi phục trong 1-2 tuần sau khi lấy cao răng và cải thiện vệ sinh. Viêm nướu trung bình đến nặng cần 3-4 tuần hoặc lâu hơn, kết hợp tái khám định kỳ. Điều quan trọng là duy trì thói quen vệ sinh tốt để ngừa tái phát, vì viêm nướu có tỷ lệ tái phát cao nếu bỏ qua chăm sóc hằng ngày.
Kết luận: Đừng đợi đến khi quá muộn
Viêm nướu là bệnh lý răng miệng phổ biến nhất tại Việt Nam, nhưng cũng là bệnh có thể phòng ngừa và điều trị hiệu quả nhất khi phát hiện sớm. Với 90% người Việt mắc bệnh răng miệng (Bộ Y tế Việt Nam) và mối liên hệ đã được chứng minh giữa viêm nướu với bệnh tim mạch (AHA, 2025) cùng như tiểu đường (ScienceDirect, 2025), việc chăm sóc nướu răng không còn là chuyện nhỏ.
Hãy tự kiểm tra nướu răng của bạn hôm nay bằng 7 dấu hiệu đã nêu trên. Nếu bạn có bất kỳ dấu hiệu nào, hãy đặt lịch khám nha khoa để được đánh giá chính xác. Nhớ rằng viêm nướu giai đoạn đầu có thể hồi phục hoàn toàn, nhưng cơ hội đó không kéo dài mãi.
NHA KHOA THẨM MỸ SAN DENTIST
Địa chỉ: Số 5 Kỳ Đồng, Phường Nhiêu Lộc, Thành phố Hồ Chí Minh
Hotline: 0342 28 28 28
Email: lienhe@sandentist.vn
Website: www.sandentist.vn


