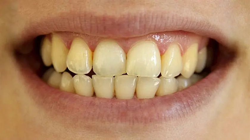
Tình trạng răng bị ố vàng là một trong những vấn đề răng miệng phổ biến khiến người bệnh cảm thấy tự ti và ngại giao tiếp.
Tình trạng răng bị ố vàng không chỉ ảnh hưởng đến thẩm mỹ mà còn đến sức khỏe răng miệng. Theo các chuyên gia, nhiều người thường không để ý đến những thói quen xấu hàng ngày có thể gây ra tình trạng răng bị ố vàng. Hãy cùng nha khoa San Dentist điểm qua những thói quen xấu khiến răng ố vàng nhé!

Răng bị ố vàng do chải răng với lực mạnh
Nhiều người thường có thói quen chải răng với lực mạnh để loại bỏ mảng bám răng, vi khuẩn, giúp răng sạch sẽ và sáng bóng hơn. Tuy nhiên, đây là quan niệm sai lầm có thể ảnh hưởng đến sức khỏe răng miệng, nhất là tình trạng răng bị ố vàng.
Thói quen chải răng thường xuyên là rất tốt cho sức khỏe răng miệng, tuy nhiên, tốc độ và cường độ đánh răng càng cao sẽ khiến men răng bị mài mòn, nướu răng bị tổn thương và răng bị ố vàng nghiêm trọng. Tình trạng này sẽ trở nên nguy hiểm hơn nếu người bệnh sử dụng kem đánh răng chứa chất mài mòn như than hoạt tính.
Chúng ta nên điều chỉnh lực và tốc độ chải răng để ngăn chặn tình trạng mài mòn men răng. Ngoài ra, đánh răng 2 lần mỗi ngày bằng bàn chải có lông mềm và chuyển động xoay tròn để loại bỏ hoàn toàn vi khuẩn gây hại.

Đánh răng ngay sau khi ăn
Đánh răng là bước quan trọng trong việc vệ sinh răng miệng. Tuy nhiên, chúng ta cần lựa chọn thời điểm đánh răng phù hợp để phát huy đúng tác dụng trong việc bảo vệ sức khỏe răng miệng.
Nhiều người có thói quen đánh răng ngay sau khi ăn, đây là hành động sai lầm có thể khiến răng bị ố vàng. Khi ăn thực phẩm giàu axit sẽ tác động và làm yếu men răng. Sau khi ăn, độ pH trong miệng sẽ giảm, độ axit tăng lên, đánh răng sẽ dễ mài mòn men răng, răng bị ố vàng nhanh chóng.
Theo các chuyên gia, chúng ta nên đợi khoảng 30-60 phút sau khi ăn mới đánh răng. Lúc này, nồng độ axit sẽ giảm, cân bằng độ pH, men răng sẽ cứng trở lại để bảo vệ sức khỏe răng miệng, ngăn ngừa tình trạng răng bị ố vàng.

Thời gian đánh răng quá ngắn
Quá trình đánh răng cũng giống như rửa tay với xà phòng. Rửa tay quá nhanh thì xà phòng không đủ thời gian tiêu diệt vi khuẩn gây hại. Thời gian đánh răng quá ngắn, những dưỡng chất trong kem đánh răng không kịp phát huy tác dụng nên không loại bỏ được vi khuẩn bám trong khoang miệng và trên bề mặt răng. Theo thời gian, người bệnh sẽ gặp tình trạng răng bị ố vàng và hôi miệng.
Theo các chuyên gia, thời gian đánh răng hợp lý cần phù hợp với tình trạng răng miệng của mỗi người. Thời gian trung bình cho mỗi lần chải răng là 2-3 phút. Chúng ta cần chú ý đánh răng nhẹ nhàng, kỹ lưỡng để loại bỏ vi khuẩn, mảng bám thức ăn.
Việc đánh răng vội vàng, qua loa sẽ khiến răng bị ố vàng, mài mòn men răng, răng bị tổn thương, hơi thở có mùi hôi và mắc bệnh lý răng miệng. Ngoài ra, chúng ta cần kiểm tra sức khỏe răng miệng định kỳ 6 tháng/lần để phát hiện sớm bệnh lý và đưa ra biện pháp điều trị kịp thời.
Nếu bạn có bất kỳ thắc mắc liên quan đến những thói quen xấu khiến răng bị ố vàng hay phương pháp phủ sứ thẩm mỹ, hãy liên hệ với nha khoa San Dentist qua hotline hoặc fanpage để được tư vấn và hỗ trợ.
NHA KHOA CHUYÊN SÂU RĂNG SỨ THẨM MỸ SAN DENTISTAn toàn đẹp mãi về sau
- Địa chỉ: Số 5 Kỳ Đồng, Phường Nhiêu Lộc, Thành phố Hồ Chí Minh
- Hotline: 0342 28 28 28
- Email: lienhe@sandentist.vn
- Website: www.sandentist.vn
- Fanpage: https://www.facebook.com/sandentistvn


