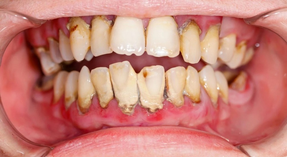
Bệnh viêm quanh răng là tình trạng bệnh lý xảy ra khi có vi khuẩn tích tụ trên răng và nướu. Vi khuẩn này gây ra viêm nướu và tổn thương các mô liên kết giữa các xương xung quanh răng. Nếu không được điều trị kịp thời, bệnh có thể dẫn đến tình trạng mất răng và ảnh hưởng đến sức khỏe toàn thân.

Bên cạnh đó, các yếu tố có thể tăng nguy cơ mắc bệnh viêm quanh răng như:
- Chải răng không đúng cách, không đánh răng đủ 2 lần mỗi ngày
- Sử dụng các loại bàn chải lông thô ráp, tác động mạnh đến bề mặt răng
- Hút thuốc lá thường xuyên có thể gây tổn thương cho răng và nướu
- Ăn uống không lành mạnh, ăn quá nhiều thực phẩm chứa đường và tinh bột có thể gây ra các bệnh lý liên quan đến hệ miễn dịch và tim mạch.
Người mắc bệnh viêm quanh răng thường có các triệu chứng như:
- Chảy máu nướu khi đánh răng hoặc sử dụng chỉ nha khoa
- Nướu răng sưng đỏ, đau nhức và khó chịu.
- Tình trạng tụt nướu và tiêu xương răng cũng có thể xảy ra, dẫn đến việc lộ thân răng.
Phương pháp điều trị bệnh viêm quanh răng
Chăm sóc sức khỏe răng miệng đúng cách, kết hợp việc tái khám định kỳ để được bác sĩ tư vấn và hỗ trợ biện pháp khắc phục hiệu quả.

Đánh răng đúng cách
Nên đánh răng 2 lần mỗi ngày, chọn các loại bàn chải có lông mềm giúp loại bỏ các mảng bám thức ăn một cách hiệu quả. Bên cạnh đó, chải răng theo chiều từ trên xuống dưới để tránh tình trạng tổn thương nướu và tụt nướu.
Sử dụng chỉ nha khoa
Chúng ta nên sử dụng chỉ nha khoa trước khi đánh răng và sau khi ăn để góp phần loại bỏ các mảng thức ăn trên răng và nướu.
Kết hợp nước súc miệng
Nước súc miệng giúp loại bỏ các vi khuẩn trong khoang miệng một cách hiệu quả. Ngoài ra, nước súc miệng còn giúp hơi thở thơm mát.
Khám răng định kỳ
Theo các chuyên gia, chúng ta nên khám răng định kỳ 6 tháng 1 lần để phát hiện sớm các bệnh về sâu răng, bệnh nha chu một cách hiệu quả.
Bên cạnh các cách điều trị thông thường, chúng ta có thể sử dụng các loại thuốc để điều trị bệnh quanh miệng an toàn
Sử dụng kháng sinh
Đây là loại thuốc sử dụng với mục đích tiêu diệt vi khuẩn gây nên tình trạng viêm nướu và tổn thương ở răng. Tuy nhiên, việc sử dụng thuốc kháng sinh không đúng cách có thể không đạt hiệu quả mà còn gây ra các hệ lụy khác như tạo điều kiện cho các chủng vi khuẩn phát triển mạnh hơn, làm cho quá trình điều trị trở nên phức tạp. Vì vậy, khi sử dụng thuốc kháng sinh phải theo hướng dẫn của bác sĩ.
Các loại thuốc chống viêm, giảm đau
Những loại thuốc này có tác dụng giảm đau và sưng cho quá trình điều trị bệnh viêm quanh răng. Tuy nhiên, khi sử dụng thuốc cần kiểm tra tình trạng sức khỏe người bệnh để đảm bảo an toàn và đạt hiệu quả cao.

Sử dụng các phương pháp nha khoa
Khi tình trạng bệnh viêm quanh răng trở nên nghiêm trọng, bác sĩ sẽ đề xuất các biện pháp điều trị chuyên sâu như lấy cao răng, làm sạch các mảng bám trên răng bằng các công cụ nha khoa. Ngoài ra, có trường hợp bác sĩ sẽ sử dụng các thủ thuật như nạo hoặc cắt nướu.

Điều trị bệnh viêm quanh răng là rất quan trọng để bảo vệ sức khỏe răng miệng và sức khỏe toàn thân. Nó giúp ngăn ngừa tình trạng mất răng, tiêu xương răng và giảm các nguy cơ về bệnh tim mạch, bệnh tiểu đường và bệnh hô hấp.
Quá trình điều trị không quá phức tạp, bao gồm vệ sinh răng miệng đúng cách, sử dụng thuốc điều trị và tái khám định kỳ theo hướng dẫn của bác sĩ nha khoa.
Nếu bạn gặp các vấn đề về răng miệng hoặc bệnh viêm quanh răng, hãy liên hệ với San Dentist để được tư vấn và hỗ trợ đưa ra các biện pháp khắc phục kịp thời.
NHA KHOA CHUYÊN SÂU RĂNG SỨ THẨM MỸ SAN DENTISTAn toàn đẹp mãi về sau
- Địa chỉ: Số 5 Kỳ Đồng, Phường Nhiêu Lộc, Thành phố Hồ Chí Minh
- Hotline: 0342 28 28 28
- Email: lienhe@sandentist.vn
- Website: www.sandentist.vn
- Fanpage: https://www.facebook.com/sandentistvn

