Nhổ răng là phương pháp nha khoa loại bỏ chân răng khỏi cung hàm. Vậy sau nhổ răng không trồng răng giả có gây nguy hiểm không?
Không trồng răng sau nhổ răng có được không?
Sau khi nhổ răng, nhiều người thường lơ là trong việc trồng răng giả vì cho rằng đây không phải là vấn đề quan trọng. Tuy nhiên, việc mất răng kéo theo nhiều hậu quả nghiêm trọng như ảnh hưởng đến khả năng ăn nhai và mất thẩm mỹ. Do đó, sau khi nhổ răng, người bệnh cần trồng răng giả để đảm bảo an toàn cho sức khỏe răng miệng.
Không trồng răng sau nhổ răng gây hậu quả gì?
Ảnh hưởng đến tính thẩm mỹ
Sau khi nhổ răng, khoảng trống trên cung hàm sẽ ảnh hưởng đến tính thẩm mỹ. Nếu nhổ răng hàm, người bệnh không cần quá lo lắng, nhưng nếu nhổ răng cửa và răng nanh sẽ gây cảm giác tự ti trong giao tiếp và ảnh hưởng đến cuộc sống hàng ngày.
Suy giảm khả năng ăn nhai
Hàm răng đóng vai trò quan trọng trong việc ăn nhai và nghiền thức ăn, hỗ trợ cho hệ tiêu hóa hoạt động tốt hơn. Nếu không trồng răng giả sau khi nhổ răng, khả năng ăn nhai sẽ suy giảm, thức ăn không được nghiền nát, ảnh hưởng đến dạ dày và đường ruột. Trong quá trình ăn uống, thức ăn bám vào vị trí nhổ răng sẽ gây ra tình trạng đau nhức khó chịu.

Tiêu xương hàm
Sau quá trình nhổ răng sẽ tạo khoảng trống, làm mất sự tác động của lực nhai lên xương hàm, không kích thích tế bào xương. Theo thời gian, có thể dẫn đến tình trạng tiêu xương hàm. Người bệnh mất nhiều răng và trong thời gian dài sẽ làm giảm mật độ, số lượng và chất lượng xương hàm.
Mắc bệnh lý răng miệng
Sau nhổ răng, các khoảng trống trên nướu dễ bị trầy xước và chảy máu khi ăn uống và vệ sinh răng miệng. Ngoài ra, những khoảng trống này cũng tạo điều kiện cho vi khuẩn tích tụ và phát triển, gây ra các bệnh lý răng miệng như viêm nướu, viêm nha chu và hôi miệng.

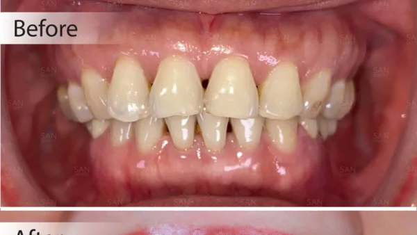
Phương pháp phục hình răng sau khi nhổ răng
Răng giả tháo lắp
Răng giả tháo lắp bao gồm nền hàm, khung hàm và răng sứ phục hình, được cố định bằng móc cài titan. Phương pháp này thường áp dụng cho những trường hợp mất một hay nhiều răng. Tuy nhiên, phương pháp này dễ bị bung tuột khi ăn uống và nói chuyện, tuổi thọ chỉ từ 3-5 năm, có khả năng tiêu xương hàm và tụt nướu.
Cầu răng sứ
Phương pháp cầu răng sứ được áp dụng cho trường hợp mất một răng nhưng hai răng bên cạnh còn chắc khỏe. Bác sĩ sẽ mài hai răng bên cạnh để làm trụ cho dãy cầu răng sứ. Phương pháp này đảm bảo khả năng ăn nhai, nhưng không ngăn chặn được tình trạng tiêu xương hàm và tụt nướu.

Cấy ghép Implant
Cấy ghép Implant là phương pháp phục hình răng hiện đại nhất. Phương pháp này giúp khôi phục chân răng bằng titanium dưới xương hàm và mão sứ làm thân răng mang lại chiếc răng mới hoàn hảo. Trồng răng Implant đảm bảo khả năng ăn nhai như răng thật, ngăn chặn tình trạng tiêu xương hàm hiệu quả. Ngoài ra, tuổi thọ răng có thể lên đến 20 năm tùy vào quá trình chăm sóc răng miệng của người bệnh.
Nếu bạn có bất kỳ thắc mắc liên quan đến quá trình nhổ răng hay phương pháp cấy ghép Implant, hãy liên hệ với nha khoa San Dentist qua hotline hoặc fanpage để được tư vấn và hỗ trợ.
NHA KHOA CHUYÊN SÂU RĂNG SỨ THẨM MỸ SAN DENTISTAn toàn đẹp mãi về sau
- Địa chỉ: Số 5 Kỳ Đồng, Phường Nhiêu Lộc, Thành phố Hồ Chí Minh
- Hotline: 0342 28 28 28
- Email: lienhe@sandentist.vn
- Website: www.sandentist.vn
- Fanpage: https://www.facebook.com/sandentistvn


