Theo các chuyên gia, hàn răng là phương pháp giúp khắc phục tình trạng mẻ răng. Tuy nhiên, hàn răng mẻ chỉ là biện pháp phục hình răng tạm thời, không đảm bảo được độ bền cũng như thời gian sử dụng dài hạn cho người bệnh.
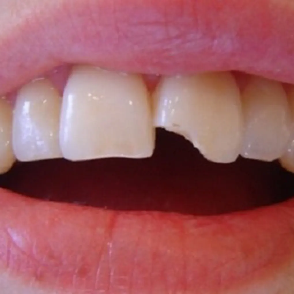
Răng bị sứt mẻ do đâu?
Men răng yếu
Men răng đóng vai trò quan trọng giúp bảo vệ răng khỏi những tác nhân gây hại. Tuy nhiên, người có men răng yếu bẩm sinh hay chăm sóc răng miệng không đúng cách có thể khiến răng bị sứt mẻ khi gặp tác động mạnh.
Tình trạng sâu răng
Sâu răng sẽ làm cấu trúc răng trở nên yếu và nhạy cảm hơn, điều này có thể dẫn đến tình trạng mẻ răng khi ăn những loại thực phẩm cứng và dai.
Răng bị chấn thương
Những người thường vận động mạnh trong khi chơi thể thao có thể khiến răng bị sứt mẻ. Ngoài ra, răng mẻ có thể do chấn thương và chịu tác động mạnh từ bên ngoài. Bên cạnh đó, những người có thói quen không lành mạnh như dùng răng để cắn vật cứng và nghiến răng cũng có thể khiến răng bị mẻ, đặc biệt ở răng cửa.

Phương pháp hàn răng mẻ là gì?
Hàn răng là phương pháp giúp phục hình răng nhanh chóng và tiết kiệm nhất. Trong trường hợp răng cửa sứt mẻ, người bệnh có thể thực hiện phương pháp hàn răng để giúp răng về đúng trạng thái ban đầu. Tuy nhiên, trong trường hợp răng sứt mẻ nặng nề, người bệnh nên lựa chọn các phương pháp nha khoa như phủ răng sứ hay dán sứ để mang lại hàm răng đều đẹp hơn.
Theo các chuyên gia, phương pháp hàn răng phù hợp với các trường hợp như răng cửa sứt mẻ chưa ảnh hưởng đến tủy răng, răng thưa có kẽ hở nhỏ, men răng bị mài mòn và răng sau khi điều trị tủy.

Hàn răng mẻ có bền không?
Theo các chuyên gia, hàn răng mẻ có bền hay không sẽ phụ thuộc vào vật liệu hàn và tay nghề của bác sĩ nha khoa. Tuy nhiên, hàn răng mẻ chỉ có độ bền khoảng từ 2-3 năm, tùy vào quá trình chăm sóc răng miệng của mỗi người. Người bệnh muốn tình trạng răng sứt mẻ được khắc phục lâu dài có thể thay thế phương pháp hàn răng bằng các phương pháp phủ răng sứ hay dán sứ Venner.
Chăm sóc răng miệng đúng cách sau khi hàn răng
Người sau khi hàn răng mẻ cần xây dựng chế độ ăn uống lành mạnh như không nên ăn những loại thực phẩm quá nóng hoặc quá lạnh để tránh tình trạng rò rỉ miếng trám, hạn chế ăn thực phẩm cứng và dai để tránh làm bong tróc miếng trám, sử dụng chỉ nha khoa và nước súc miệng để loại bỏ hoàn toàn các mảng bám trên kẽ răng và vị trí hàn răng.

Răng mẻ có thể khiến người bệnh gặp khó khăn trong việc ăn uống, vệ sinh răng miệng và thiếu tự tin trong cuộc sống. Do đó, nhiều người có thể lựa chọn phương pháp hàn răng để khắc phục tình trạng này. Tuy nhiên, hàn răng mẻ thường có độ bền không cao, người bệnh có thể tham khảo các phương pháp phủ sứ thẩm mỹ hay dán sứ Veneer để đảm bảo thời gian lâu dài.
Nếu bạn có bất kỳ thắc mắc liên quan đến hàn răng mẻ hay phương pháp phủ sứ thẩm mỹ, hãy liên hệ với nha khoa San Dentist qua hotline. fanpage hoặc website để được tư vấn, hỗ trợ và điều trị chuyên sâu.
NHA KHOA CHUYÊN SÂU RĂNG SỨ THẨM MỸ SAN DENTISTAn toàn đẹp mãi về sau
- Địa chỉ: Số 5 Kỳ Đồng, Phường Nhiêu Lộc, Thành phố Hồ Chí Minh
- Hotline: 0342 28 28 28
- Email: lienhe@sandentist.vn
- Website: www.sandentist.vn
- Fanpage: https://www.facebook.com/sandentistvn


