Sức khỏe răng miệng luôn là một vấn đề được nhiều người quan tâm, tuy nhiên, hầu hết mọi người chỉ tập trung đến các vấn đề liên quan đến răng miệng mà không biết rằng nó cũng ảnh hưởng đến bệnh lý về tim mạch. Một vấn đề phổ biến về răng miệng là bệnh nha chu, hay còn được gọi là viêm nướu.
Bệnh nha chu có thể gây tổn thương cho lợi, răng và các mô xương, để lại nhiều hậu quả nghiêm trọng. Tuy nhiên, điều mà ít người biết là bệnh nha chu cũng ảnh hưởng đáng kể đến bệnh lý về tim mạch.

Theo các chuyên gia, tình trạng viêm nướu ảnh hưởng đến sức khỏe tim mạch. Họ đã phát hiện ra rằng những người chăm sóc răng miệng đúng cách có khả năng giữ cho nhịp tim ổn định hơn so với những người không chăm sóc răng miệng đúng cách, với tỷ lệ tăng lên đến 40%. Ngoài ra, các chuyên gia cũng cho biết rằng, những người mắc bệnh nha chu có khả năng mắc các bệnh về tim mạch cao hơn 20%.
Ngoài ra, các chuyên gia cũng đã nhận thấy một mối liên hệ giữa bệnh nha chu và bệnh tim. Tình trạng viêm nướu có thể gây hiện tượng co hẹp các động mạch quan trọng, và điều này có thể dẫn đến bệnh tim mạch.

Bệnh nha chu là một tình trạng nghiêm trọng ảnh hưởng đến sức khỏe răng miệng. Ngoài việc liên quan đến bệnh tim mạch, viêm nha chu còn có thể gây ảnh hưởng đến sức khỏe tổng thể, như bệnh loãng xương, các bệnh đường hô hấp, ung thư (như ung thư thận, ung thư tủy và ung thư máu) và viêm khớp dạng thấp. Tình trạng này không chỉ ảnh hưởng đến sức khỏe răng miệng mà còn tác động lớn đến sức khỏe toàn bộ cơ thể.
Các chuyên gia cũng cho rằng, bệnh tiểu đường có thể làm tăng sự phát triển vi khuẩn, làm cho bệnh nha chu trở nên nghiêm trọng hơn. Những người mắc bệnh tiểu đường có nguy cơ cao mắc bệnh nha chu và từ đó có thể dẫn đến bệnh tim mạch trong tương lai.
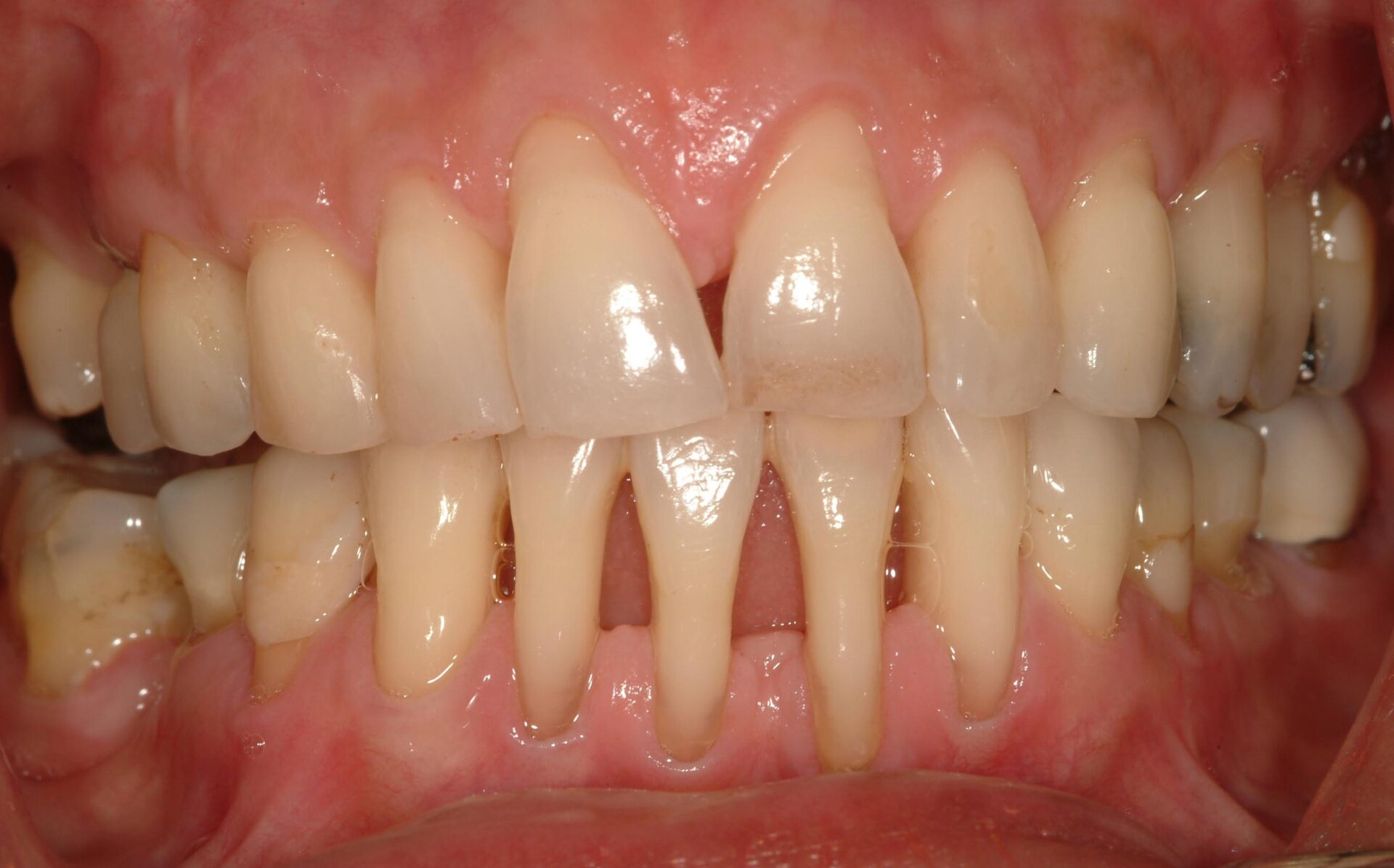
Bệnh nha chu thường được nhận biết qua những triệu chứng phổ biến như hơi thở có mùi hôi khó chịu, sưng đỏ và chảy máu nướu khi đánh răng, khó khăn khi nhai thức ăn và răng lung lay, có thể dẫn đến mất răng nếu không được phát hiện và điều trị kịp thời. Ngoài ra, người bệnh cũng có thể gặp các triệu chứng như sốt nhẹ, ngứa nướu, và đây là những dấu hiệu đầu tiên cho sự liên quan đến bệnh tim mạch.

Do đó, bác sĩ nha khoa khuyên người bệnh nên thường xuyên đến kiểm tra sức khỏe răng miệng mỗi 6 tháng một lần để giảm nguy cơ mắc các bệnh lý răng miệng hiệu quả. Khi đến phòng nha khoa, bác sĩ sẽ tiến hành một cuộc kiểm tra chi tiết về tình trạng sức khỏe răng miệng bằng cách đo độ sâu của túi nướu, kiểm tra sự tích tụ của mảng bám trên nướu và thực hiện các xét nghiệm như chụp X-quang và kiểm tra độ nhạy cảm của nướu để đưa ra giải pháp điều trị hiệu quả.
Nhận biết những triệu chứng thường gặp ở người bệnh tim mạch liên quan đến bệnh nha chu là rất quan trọng. Các dấu hiệu thường gặp của bệnh tim mạch bao gồm cảm giác đau thắt ngực thường xuyên do tim không nhận đủ oxy, rối loạn nhịp tim, khó thở, choáng váng, đau đầu, mệt mỏi và giảm trí nhớ. Dựa trên những dấu hiệu này, bác sĩ sẽ tiến hành các xét nghiệm để khắc phục tình trạng nhanh chóng và hiệu quả nhất.

Việc phòng ngừa bệnh nha chu có vai trò quan trọng trong việc kiểm soát bệnh tim mạch. Theo các chuyên gia, chăm sóc răng miệng đóng vai trò quan trọng và có ảnh hưởng lớn đến sức khỏe, giúp giảm nguy cơ mắc bệnh tim mạch lên đến 80%. Vì vậy, chúng ta cần thực hiện những biện pháp ngăn chặn bệnh nha chu một cách hiệu quả.
- Đánh răng ít nhất 2 lần mỗi ngày sử dụng kem đánh răng có chứa flour phù hợp, đánh răng nhẹ nhàng mà không chà mạnh để tránh làm tổn thương bề mặt răng.
- Sử dụng chỉ nha khoa sau khi ăn để loại bỏ mảng bám thức ăn ở kẽ răng hiệu quả.
- Dùng nước súc miệng sau khi đánh răng và sau khi ăn để loại bỏ hoàn toàn vi khuẩn còn sót lại trong khoang miệng.
- Xây dựng chế độ ăn uống lành mạnh bằng cách tiêu thụ nhiều rau và thực phẩm giàu chất xơ, tránh ăn nhiều đường và ưu tiên thực phẩm có chứa protein từ thực vật.
- Tránh các thói quen không lành mạnh như hút thuốc lá.
- Đặc biệt, nên đi kiểm tra sức khỏe răng miệng định kỳ 6 tháng 1 lần.
Bệnh tim mạch có mối liên hệ chặt chẽ với bệnh nha chu, cho thấy rằng vi khuẩn khi tích tụ trong khoang miệng càng nhiều sẽ gây ra tắc nghẽn mạch máu. Do đó, chúng ta cần ngăn chặn bệnh tim mạch ngay từ ban đầu bằng cách chăm sóc răng miệng đúng cách.
Nếu có bất cứ thắc mắc nào về các bệnh răng miệng như nha chu, sâu răng,… và cách chăm sóc răng miệng, hãy liên hệ với San Dentist để được giải đáp và tư vấn tận tình nhé!
NHA KHOA CHUYÊN SÂU RĂNG SỨ THẨM MỸ SAN DENTISTAn toàn đẹp mãi về sau
- Địa chỉ: Số 5 Kỳ Đồng, Phường Nhiêu Lộc, Thành phố Hồ Chí Minh
- Hotline: 0342 28 28 28
- Email: lienhe@sandentist.vn
- Website: www.sandentist.vn
- Fanpage: https://www.facebook.com/sandentistvn

