Bệnh viêm nướu (viêm lợi) là một tình trạng viêm nhiễm khá phổ biến và thường không có triệu chứng rõ ràng, khó phát hiện ngay.
Theo các chuyên gia, bệnh viêm nướu răng có thể được chia thành hai giai đoạn cơ bản.
Viêm nướu cục bộ
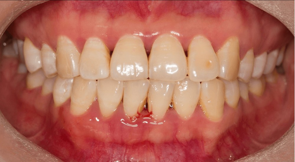
Ở giai đoạn này, tình trạng viêm nướu răng thường không gây ra cảm giác đau đớn. Triệu chứng của nó bao gồm lợi sưng đỏ, phồng lên và khi đánh răng có thể gây ra chảy máu do bị tác động mạnh. Viêm nướu cục bộ chưa ảnh hưởng nhiều đến chân răng và các thành phần xung quanh răng.

Tình trạng này có thể được điều trị dễ dàng, nhưng cũng dễ bị tái phát lại.
Viêm cận răng
Nếu tình trạng viêm lợi không được phát hiện và điều trị kịp thời, lớp lợi bên trong xương hàm sẽ bị đẩy lùi ra phía sau, tạo ra những lỗ hổng lớn xung quanh răng. Những lỗ hổng này có thể tạo điều kiện cho các mảng bám thức ăn tích tụ và gây ra tình trạng viêm nhiễm nghiêm trọng hơn.
Viêm cận răng cũng có thể gây ra do bựa răng tích tụ ngày càng nhiều dưới vòm lợi, khiến hệ miễn dịch phải hoạt động mạnh mẽ hơn để ngăn chặn sự phát triển của vi khuẩn. Các độc tố kháng vi khuẩn và nước bọt sẽ phá hủy mô liên kết và xương hàm, dẫn đến tình trang răng lung lay và mất răng.
Trong giai đoạn này, lợi sẽ sưng đỏ, chảy máu nhiều hơn, gây ra cảm giác đau nhức dữ dội và có thể kèm theo các hiện tượng sưng má. Đặc biệt, tình trạng này có thể làm hơi thở có mùi hôi khó chịu. Nếu không được điều trị kịp thời, lợi sẽ tụt xuống, làm cho chân răng bị lộ ra và dần dần sẽ bị rụng răng.

Bệnh viêm nướu có lây không?
Tình trạng viêm nướu răng có thể lây từ các thành viên trong gia đình. Tuy nhiên, trường hợp này thường xảy ra khi bệnh phát triển thành viêm nha chu. Theo các chuyên gia, các loại vi khuẩn trong bệnh nha chu có thể được lây truyền qua nước bọt.
Biện pháp phòng lây bệnh viêm nướu chuyển sang giai đoạn bệnh nha chu
Nhằm tránh tình trạng lây viêm nướu răng sang người khác, người bệnh cần tuân thủ theo nguyên tắc điều trị bệnh và chủ động phòng tránh lây bệnh cho người xung quanh.
Để khắc phục hiệu quả tình trạng này, người bệnh viêm nướu nên vệ sinh răng miệng đúng cách, đánh răng hai lần mỗi ngày kết hợp sử dụng chỉ nha khoa để loại bỏ hoàn toàn các mảng bám thức ăn. Ngoài ra, người bệnh cần bổ sung vitamin C để chữa lành các vết thương nhanh chóng và an toàn hơn.

Tình trạng viêm nướu răng ít khi lây cho người khác. Tuy nhiên, đến giai đoạn nặng hơn là viêm nha chu, thì có thể lây nhiễm cho những người xung quanh. Vì vậy, mỗi chúng ta nên có biện pháp bảo vệ răng miệng và phòng tránh tình trạng lây nhiễm bệnh viêm nướu hiệu quả.
Nếu có bất cứ thắc mắc nào, hãy liên hệ với San Dentist qua website, fanpage hoặc hotline để được điều trị chuyên sâu hoặc giải đáp nhé!
NHA KHOA CHUYÊN SÂU RĂNG SỨ THẨM MỸ SAN DENTISTAn toàn đẹp mãi về sau
- Địa chỉ: Số 5 Kỳ Đồng, Phường Nhiêu Lộc, Thành phố Hồ Chí Minh
- Hotline: 0342 28 28 28
- Email: lienhe@sandentist.vn
- Website: www.sandentist.vn
- Fanpage: https://www.facebook.com/sandentistvn

