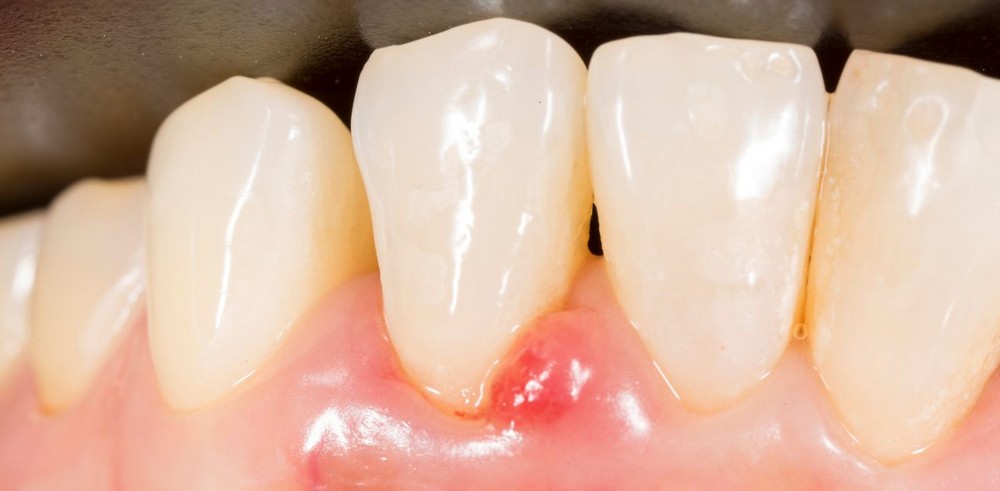
Áp xe chân răng là gì?
Áp xe chân răng là một bệnh lý nghiêm trọng ảnh hưởng đến sức khỏe răng miệng và sức khỏe tổng thể. Tình trạng này xảy ra khi răng bị nhiễm trùng, thường do sâu răng hoặc các vấn đề bệnh lý khác.

Khi bị nhiễm trùng, mủ có thể tích tụ trong răng, gây ra sưng tấy và viêm nhiễm. Vi khuẩn trong mủ có thể lan sang các phần khác của cơ thể, gây ra những vấn đề sức khỏe nghiêm trọng hơn.
Áp xe chân răng có tự khỏi được không?
Khi bệnh áp xe răng phát triển mạnh, nó có thể gây ra viêm nhiễm lan rộng hơn. Bệnh này không tự khỏi được và cần phải được điều trị bởi các biện pháp nha khoa hiệu quả.
Các biện pháp điều trị sẽ được tùy chỉnh phù hợp với tình trạng sức khỏe răng miệng của từng người bệnh, do đó bác sĩ nha khoa sẽ đưa ra các biện pháp phù hợp.
Biện pháp điều trị áp xe chân răng
Điều trị tủy răng
Phương pháp điều trị này bao gồm việc loại bỏ hoàn toàn các mô tủy răng bị nhiễm trùng và áp xe từ bên trong răng, đảm bảo không còn sót lại tủy răng. Sau đó, các ống tủy sẽ được bác sĩ trám kín lại để ngăn ngừa sự lây lan vi khuẩn sang các răng khác và bảo vệ răng khỏi bệnh lý áp xe chân răng.
Cuối cùng, bệnh nhân sẽ được khuyến khích sử dụng phương pháp phủ răng sứ để bảo vệ răng khỏi tái phát bệnh lý này.
Sử dụng các loại thuốc kháng viêm
Trong những trường hợp nhiễm trùng tại khu vực áp xe, việc sử dụng kháng viêm không cần thiết. Nếu nhiễm trùng lan sang các răng khác hoặc ở hàm, bác sĩ sẽ kê đơn thuốc kháng viêm để ngăn chặn tình trạng viêm nhiễm trở nặng hơn.
Tuy nhiên, đối với những bệnh nhân có hệ miễn dịch yếu, bác sĩ khuyến cáo hạn chế sử dụng các loại kháng viêm để bảo vệ sức khỏe cơ thể.
Nhổ các răng bị ảnh hưởng
Trong những trường hợp áp xe chân răng trở nên nghiêm trọng, nếu bệnh lý không thể giữ lại răng thì bác sĩ sẽ tiến hành nhổ răng để tránh viêm nhiễm sang các răng khác. Để đảm bảo tính thẩm mỹ và an toàn cho sức khỏe răng miệng, bệnh nhân có thể sử dụng các phương pháp nha khoa như trồng răng sứ.

Nha khoa San Dentistđi đầu trong lĩnh vực trồng răng Implant – phương pháp phục hồi tình trạng mất răng hiệu quả. Đây được xem là biện pháp hiện đại và tiên tiến mang lại nhiều ưu điểm vượt trội cho bệnh nhân.
Bên cạnh đó, San Dentist cũng sử dụng công nghệ kỹ thuật cao để kiểm tra sức khỏe răng miệng của khách hàng, giúp bác sĩ nắm rõ tình trạng bệnh nhân đang gặp phải. Dựa vào kết quả kiểm tra, bác sĩ sẽ tư vấn cho bệnh nhân biện pháp khắc phục hiệu quả và an toàn.
Nếu có bất cứ thắc mắc nào, hãy liên hệ với San Dentist qua website, fanpage hoặc hotline để được giải đáp nhé!
NHA KHOA CHUYÊN SÂU RĂNG SỨ THẨM MỸ SAN DENTISTAn toàn đẹp mãi về sau
- Địa chỉ: Số 5 Kỳ Đồng, Phường Nhiêu Lộc, Thành phố Hồ Chí Minh
- Hotline: 0342 28 28 28
- Email: lienhe@sandentist.vn
- Website: www.sandentist.vn
- Fanpage: https://www.facebook.com/sandentistvn


