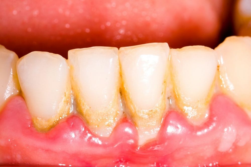
Vôi răng là gì?
Vôi răng được xem là nguyên nhân gây ra nhiều bệnh lý răng miệng như viêm nướu, viêm nha chu và đồng thời ảnh hưởng đến thẩm mỹ. Theo các chuyên gia, chúng ta cần thực hiện cạo vôi đánh bóng răng định kỳ nhằm bảo vệ sức khỏe răng miệng.

Các mảng thức ăn bám ở kẽ răng trong thời gian dài sẽ chuyển thành vôi răng. Vôi răng thường có màu trắng đục hoặc vàng nâu, gây mất thẩm mỹ cho hàm răng.
Tác hại của vôi răng
Vôi răng xuất hiện sẽ gây ra tình trạng hôi miệng và có nguy cơ phá hủy lớp men răng, dẫn đến khả năng mắc bệnh sâu răng. Ngoài ra, vôi răng còn là nguyên nhân gây ra nhiều bệnh lý răng miệng như viêm nha chu, viêm nướu, tiêu xương ổ răng và viêm tủy răng. Bên cạnh đó, vôi răng có thể gây tụt nướu và làm lộ chân răng khiến răng bị lung lay hoặc thậm chí mất răng.
Biện pháp cạo vôi đánh bóng răng
Cạo vôi đánh bóng răng là một thủ thuật nha khoa giúp loại bỏ mảng bám thức ăn, ngăn ngừa bệnh lý răng miệng và làm cho răng trở nên trắng sáng hơn. Nhờ sự phát triển của kỹ thuật hiện đại, việc sử dụng thiết bị siêu âm đã làm cho quá trình loại bỏ vôi răng nhanh chóng và đơn giản hơn rất nhiều.

Sau khi vôi răng đã được loại bỏ, bác sĩ sẽ tiến hành đánh bóng răng bằng cách sử dụng các dụng cụ nha khoa và sáp đánh bóng. Quá trình này giúp loại bỏ các mảng bám nhỏ còn sót lại trên bề mặt răng và kẽ răng, đồng thời giúp răng trắng sáng hơn.
Trường hợp cần thực hiện cạo vôi đánh bóng răng
Theo các chuyên gia, mọi người nên kiểm tra răng miệng định kỳ 6 tháng/lần để thực hiện cạo vôi đánh bóng răng. Vì vậy, tất cả chúng ta đều cần thực hiện cạo vôi để ngăn chặn các bệnh lý răng miệng một cách hiệu quả.

Tuy nhiên, cạo vôi đánh bóng răng cần được thực hiện nhanh chóng đối với những trường hợp răng xuất hiện nhiều mảng bám, xỉn màu, viêm nướu, viêm nha chu, chảy máu chân răng hay ê buốt răng.
Quy trình cạo vôi đánh bóng răng tại nha khoa
- Bác sĩ sẽ kiểm tra tình trạng răng miệng và đánh giá mức độ vôi răng ở từng người.
- Thực hiện cạo vôi răng bằng sóng siêu âm với tần số phù hợp.
- Sau khi cạo vôi răng, bác sĩ sẽ tiến hành đánh bóng bề mặt răng giúp răng sạch, bóng láng và hạn chế nguy cơ các mảng bám quay trở lại.
- Sau khi hoàn thiện, bệnh nhân sẽ được vệ sinh răng miệng sạch sẽ.
Quy trình cạo vôi đánh bóng răng diễn ra trong khoảng thời gian từ 15 đến 30 phút. Tuy nhiên, thời gian này có thể thay đổi tùy vào tình trạng vôi răng của từng người, từ đó quá trình cạo vôi đánh bóng răng sẽ kéo dài hoặc rút ngắn phù hợp. Theo các chuyên gia, người bệnh cần thực hiện cạo vôi đánh bóng răng định kỳ 6 tháng/lần để duy trì việc bảo vệ sức khỏe răng miệng.
Chăm sóc sau khi cạo vôi đánh bóng răng
Sau khi đã thực hiện cạo vôi đánh bóng răng, người bệnh cần chăm sóc răng miệng đặc biệt vì lúc này hàm răng trở nên khá nhạy cảm. Sau khi đánh bóng răng, người bệnh nên hạn chế ăn uống những loại thực phẩm nóng hoặc lạnh để tránh tình trạng ê buốt hoặc tổn hại đến men răng. Ngoài ra, không nên sử dụng các loại thực phẩm có màu đậm như cà phê hoặc nước ngọt để tránh tạo thêm nhiều mảng bám và xỉn màu răng.

Để duy trì sức khỏe răng miệng, người bệnh nên vệ sinh răng hiệu quả, bằng cách đánh răng 2 lần mỗi ngày và dùng lực chải nhẹ nhàng để không gây tổn hại cho men răng. Ngoài ra, chúng ta nên sử dụng chỉ nha khoa và nước súc miệng để loại bỏ hoàn toàn các mảng bám thức ăn, giữ cho răng miệng luôn sạch sẽ và khỏe mạnh.
Chi phí cạo vôi đánh bóng răng
Toàn bộ quy trình cạo vôi đánh bóng răng sẽ diễn ra nhanh chóng trong khoảng 30 phút đến 2 giờ đồng hồ, tùy vào điều kiện sức khỏe răng miệng. Và chi phí cho việc cạo vôi đánh bóng cũng chỉ nằm trong khoảng từ 100.000 đồng đến 500.000 đồng.
Nếu có bất kỳ thắc mắc liên quan đến việc chăm sóc răng miệng hoặc các bệnh lý răng miệng, hãy liên hệ với nha khoa San Dentist qua trang web hoặc fanpage để được tư vấn, hỗ trợ và điều trị chuyên sâu.
NHA KHOA CHUYÊN SÂU RĂNG SỨ THẨM MỸ SAN DENTISTAn toàn đẹp mãi về sau
- Địa chỉ: Số 5 Kỳ Đồng, Phường Nhiêu Lộc, Thành phố Hồ Chí Minh
- Hotline: 0342 28 28 28
- Email: lienhe@sandentist.vn
- Website: www.sandentist.vn
- Fanpage: https://www.facebook.com/sandentistvn

