Tình trạng bị chảy máu khi sâu răng là hiện tượng khá nhiều người gặp phải. Tình trạng này xảy ra do nguyên nhân nào, cách khắc phục ra sao và ảnh hưởng như thế nào đến sức khỏe răng miệng luôn được nhiều người quan tâm và thắc mắc.
Bị chảy máu khi sâu răng: Quen hay lạ?
Sâu răng là tình trạng thân răng bị tổn thương do quá trình chăm sóc răng miệng không đúng cách. Bệnh thường diễn ra với tốc độ tương đối chậm và âm thầm, dẫn đến việc người bệnh khó phát hiện sớm.
Sâu răng thường được phát hiện khi xuất hiện những cơn ê buốt và đau nhức khó chịu. Tuy nhiên, việc điều trị ở giai đoạn này khá phức tạp do men răng đã bị tổn thương nặng.
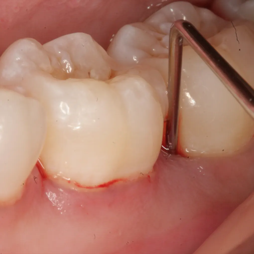
Theo các chuyên gia, bị chảy máu khi sâu răng là tình trạng hư hại và viêm nhiễm của răng. Sâu răng tấn công đến thân răng, làm cho tủy lộ ra và có nguy cơ cao gây nhiễm trùng. Buồng tủy là nơi chứa nhiều dây thần kinh cũng như mạch máu, chỉ cần tác động nhỏ từ bên ngoài vào tủy có thể khiến người bệnh ê buốt và đau nhức khó chịu.
Sâu răng bị chảy máu có thể xuất hiện ở nhiều mức độ khác nhau. Khi tủy viêm nhiễm ở giai đoạn đầu, chỉ xảy ra hiện tượng chảy máu ít. Tuy nhiên, tủy viêm nhiễm ở giai đoạn nặng hơn sẽ khiến người bệnh chảy máu liên tục và kéo dài hơn.

Sâu răng bị chảy máu do đâu?
Theo các chuyên gia, sâu răng bị chảy máu thường do tình trạng răng sâu không được phát hiện sớm và điều trị kịp thời. Ngoài ra, đây cũng có thể là dấu hiệu cảnh báo về một số bệnh lý nguy hiểm đến sức khỏe.
Bị chảy máu khi tình trạng sâu răng đã lây lan sang các vùng xung quanh, gây tổn thương nghiêm trọng cho nướu răng. Ngoài ra, các vùng liên kết giữa nướu và chân răng cũng bị ảnh hưởng, khiến cho thân răng trở nên yếu đi và xuất hiện tình trạng chảy máu.
Ngoài ra, đó còn do vi khuẩn ăn sâu vào tủy, gây tổn thương và làm chết tủy răng. Ngoài ra, các lỗ sâu cũng có thể bị hoại tử, hình thành các ổ viêm gây ra hiện tượng chảy máu. Tình trạng này cũng có thể do vi khuẩn ăn sâu xuống hàm và hình thành các ổ khuẩn gây ra hiện tượng áp xe răng và chảy máu.

Điều trị như thế nào?
Bị chảy máu khi sâu răng chứng tỏ hiện tượng viêm nhiễm đã xảy ra ở tủy răng. Người bệnh cần có phương án điều trị kịp thời để tránh gặp tình trạng mất răng vĩnh viễn. Không nên tự điều trị bằng các phương pháp nhân gian tại nhà, vì điều này không đảm bảo an toàn và có thể làm tình trạng bệnh trở nên nghiêm trọng hơn.
Do đó, người bệnh cần đến nha khoa để bác sĩ kiểm tra và đưa ra biện pháp điều trị phù hợp nhất.
Cách phòng ngừa tình trạng chảy máu khi sâu răng
Để phòng ngừa tình trạng chảy máu, người bệnh cần xây dựng chế độ ăn uống lành mạnh, tránh ăn nhiều đường, bánh kẹo và nước có gas. Người bệnh cần chú ý vệ sinh răng miệng đúng cách, đánh răng 2 lần mỗi ngày, kết hợp sử dụng chỉ nha khoa và nước súc miệng để bảo vệ răng miệng khỏe mạnh hơn.

Ngoài ra, người bệnh cần bổ sung nhiều thực phẩm giàu canxi, vitamin và khoáng chất để cung cấp dưỡng chất cần thiết cho răng chắc khỏe. Bên cạnh đó, người bệnh cần kiểm tra sức khỏe răng miệng định kỳ 6 tháng/lần tại nha khoa để bác sĩ thực hiện lấy vôi răng và phát hiện sớm các bệnh lý răng miệng khác.
Nếu bạn có bất kỳ thắc mắc liên quan đến bệnh sâu răng bị chảy máu hay phương pháp cấy ghép Implant, hãy liên hệ với nha khoa San Dentist qua hotline, fanpage hoặc website để được tư vấn, hỗ trợ và điều trị chuyên sâu.
NHA KHOA CHUYÊN SÂU RĂNG SỨ THẨM MỸ SAN DENTISTAn toàn đẹp mãi về sau
- Địa chỉ: Số 5 Kỳ Đồng, Phường Nhiêu Lộc, Thành phố Hồ Chí Minh
- Hotline: 0342 28 28 28
- Email: lienhe@sandentist.vn
- Website: www.sandentist.vn
- Fanpage: https://www.facebook.com/sandentistvn


