Bệnh viêm nướu do sự phát triển của vi khuẩn, dẫn đến tình trạng viêm nhiễm ở vùng nướu. Triệu chứng phổ biến của viêm nướu bao gồm sưng đỏ và đau nhức ở vùng nướu răng.
Theo các chuyên gia, đây được coi là giai đoạn đầu của bệnh viêm nướu. Vì vậy, việc phát hiện triệu chứng sớm là rất quan trọng để điều trị kịp thời. Nếu không phát hiện kịp thời, bệnh có thể tiến triển thành viêm nha chu, một tình trạng rất nguy hiểm.

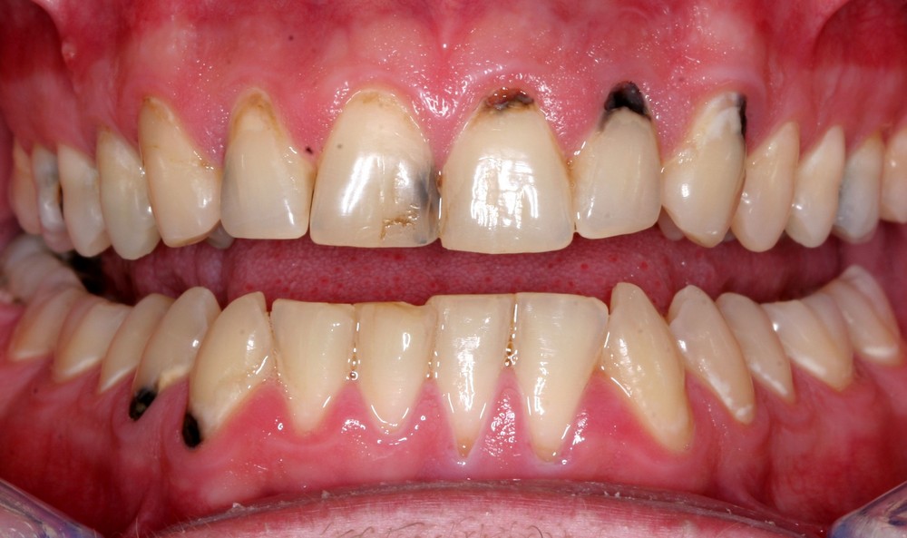
Những triệu chứng thường gặp của bệnh viêm nướu
Nướu sưng đỏ
Nướu răng có vai trò quan trọng trong việc giữ cho răng chắc khỏe. Nướu có cấu trúc mềm nhô ra, giúp ngăn chặn thức ăn bám vào bề mặt răng. Nếu nướu răng khỏe mạnh, thường sẽ có màu hồng nhạt hoặc màu hồng pha trộn với màu trắng ở phần gần chân răng. Tuy nhiên, khi vi khuẩn phát triển và tấn công, nướu răng sẽ bị viêm, thay đổi màu sắc và có thể trở nên đỏ hơn, tùy thuộc vào tình trạng sức khỏe miệng của từng người.
Răng bị lung lay
Bệnh viêm nướu gây tổn thương đến cả tiêu xương răng và nướu răng, khiến răng nhạy cảm và dễ bị lung lay hơn. Khi các mô này bị tổn thương, nướu không còn ôm sát chân răng như bình thường, làm cho răng dễ bị lung lay. Trong các trường hợp nặng hơn, bệnh viêm nướu có thể dẫn đến tình trạng rụng răng.
Hơi thở có mùi
Hơi thở có mùi hôi thường do sự tích tụ của cao răng, vi khuẩn và mảng bám thức ăn kết hợp với nước bọt, gây ra tình trạng viêm nhiễm nướu răng. Để giảm tình trạng này, những người bị hôi miệng nên hạn chế tiêu thụ các loại thực phẩm có thể làm tình trạng trở nên nghiêm trọng hơn.

Nướu răng chảy máu
Người mắc bệnh viêm nướu răng thường gặp tình trạng chảy máu khi đánh răng. Điều này đòi hỏi người bệnh cần cân nhắc và nhận thức về tình trạng này, đồng thời áp dụng điều trị kịp thời. Nếu không được điều trị, tình trạng này có thể ảnh hưởng nghiêm trọng đến sức khỏe của nướu và răng.
Răng nhạy cảm
Răng nhạy cảm không chỉ xuất phát từ bệnh sâu răng, mà còn có thể do tình trạng viêm nướu răng trầm trọng. Vì vậy, khi gặp tình trạng răng nhạy cảm, người bệnh cần điều trị và thăm khám bởi bác sĩ để xác định chính xác nguyên nhân gây ra vấn đề này và có biện pháp khắc phục phù hợp.

Tình trạng viêm nướu răng là một vấn đề rất phổ biến và có thể xảy ra ở bất kỳ ai, không phân biệt tuổi tác. Tuy nhiên, khi được phát hiện sớm, bệnh viêm nướu có thể được điều trị hoàn toàn. Nếu không được phát hiện và điều trị kịp thời, bệnh viêm nướu có thể phát triển thành viêm nha chu, và điều này sẽ làm cho quá trình chữa trị trở nên khó khăn hơn.
Vì vậy, chúng ta nên chăm sóc răng miệng đúng cách, và xây dựng một chế độ ăn uống lành mạnh để cung cấp đủ chất dinh dưỡng cho răng và nướu. Ngoài ra, việc kiểm tra sức khỏe răng miệng định kỳ 6 tháng/lần là rất quan trọng, để tiến hành cạo vôi răng và đồng thời phát hiện sớm các vấn đề bệnh lý răng miệng.
Nếu có bất cứ thắc mắc nào, hãy liên hệ với San Dentist qua website, fanpage hoặc hotline để được điều trị viêm nướu hoặc giải đáp thêm về các phương pháp ngăn ngừa nhé!
NHA KHOA CHUYÊN SÂU RĂNG SỨ THẨM MỸ SAN DENTISTAn toàn đẹp mãi về sau
- Địa chỉ: Số 5 Kỳ Đồng, Phường Nhiêu Lộc, Thành phố Hồ Chí Minh
- Hotline: 0342 28 28 28
- Email: lienhe@sandentist.vn
- Website: www.sandentist.vn
- Fanpage: https://www.facebook.com/sandentistvn

