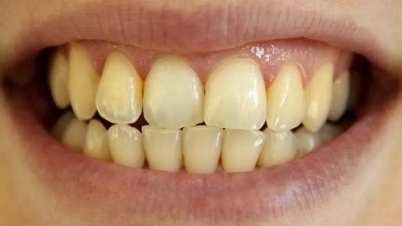
Đánh răng là cách tốt nhất để vệ sinh răng miệng mỗi ngày. Vậy tại sao răng vẫn vàng mặc dù đã đánh răng thường xuyên?
Tại sao đánh răng thường xuyên mà răng vẫn vàng?
Răng vàng có thể do việc vệ sinh răng miệng không đúng cách. Điều này không thể loại bỏ những mảng bám tích tụ trên bề mặt răng. Ngoài ra, đánh răng thường xuyên mà răng vẫn vàng có thể do một số nguyên nhân như:
- Tiêu thụ nhiều thực phẩm và đồ uống chứa tanin như rượu vang, cà phê, trà, trái cây họ cam quýt, nước tương và giấm.
- Thói quen hút thuốc lá khiến răng ố vàng và mắc bệnh lý răng miệng.
- Yếu tố di truyền do men răng dày và trắng hơn.
- Tuổi càng lớn sẽ khiến răng càng ngả màu, ố vàng.
- Tác dụng phụ của một số loại thuốc điều trị huyết áp, chống loạn thần.

Tác hại của việc đánh răng mà răng vẫn vàng
Răng ố vàng sau khi đánh răng có thể do men răng. Men răng bị ảnh hưởng, mài mòn và hình thành nhiều lỗ nhỏ li ti. Men răng bị mài mòn quá nặng sẽ ảnh hưởng đến ngà răng và tủy răng. Ngà răng có màu sắc tự nhiên nên khi bị ảnh hưởng sẽ xuất hiện màu vàng. Nhìn chung, tình trạng răng ố vàng xuất phát từ bên ngoài có thể làm sạch bằng cách đánh răng và kết hợp một số phương pháp tẩy trắng răng.
Tuy nhiên, răng ố vàng từ bên trong thì các biện pháp điều trị tại nhà sẽ không lại kết quả như mong muốn. Người bệnh cần đến nha khoa để bác sĩ kiểm tra tình trạng răng miệng và đưa ra biện pháp điều trị kịp thời.

Đánh răng đúng cách như thế nào?
Bước 1: Đặt bàn chải nằm ngang và nghiêng một góc 45 độ với đường viền nướu, đánh răng nhẹ nhàng ở hàm trên và hàm dưới theo chuyển động tròn để loại bỏ vi khuẩn và mảnh vụn thức ăn trong kẽ răng.
Bước 2: Tiếp tục chải tương tự ở mặt trong của răng, Chải lên, xuống hoặc xoay tròn để làm sạch vi khuẩn và mảnh vụn thức ăn ở hàm trên và hàm dưới.
Bước 3: Đặt bàn chải song song với mặt nhai của răng. Người bệnh cần chải răng kỹ càng vì đây là vị trí thức ăn dễ bám vào.
Bước 4: Vệ sinh mặt lưỡi từ trong ra ngoài để loại bỏ vi khuẩn gây hôi miệng và bệnh lý răng miệng. Người bệnh có thể sử dụng các dụng cụ chải lưỡi chuyên dụng hay bàn chải đánh răng thông thường.

Ngăn ngừa tình trạng răng vàng trở lại
Để ngăn chặn tình trạng răng ố vàng trở lại, người bệnh cần duy trì thói quen vệ sinh răng miệng đung cách và sử dụng một số mẹo hay để hạn chế răng ố vàng.
- Đánh răng ít nhất 2-3 lần mỗi ngày trong thời gian 2-3 phút.
- Sử dụng chỉ nha khoa và nước súc miệng để loại bỏ vi khuẩn và mảng bám.
- Lựa chọn kem đánh răng có chứa fluor phù hợp.
- Tham khảo ý kiến của bác sĩ về loại kem đánh răng có tác dụng làm trắng.
- Hạn chế tiêu thụ thực phẩm và đồ uống khiến răng ố vàng.
- Súc miệng sau khi ăn đồ có nhiều axit, nước trái cây, cà phê, trà hay rượu vang.
- Tránh thói quen không lành mạnh như hút thuốc lá, uống rượu bia và nghiến răng.
Nếu bạn có bất kỳ thắc mắc liên quan đến tình trạng răng ố vàng mặc dù đánh răng thường xuyên hay phương pháp phủ sứ thẩm mỹ, hãy liên hệ với nha khoa San Dentite qua hotline hoặc fanpage để được tư vấn và hỗ trợ.
NHA KHOA CHUYÊN SÂU RĂNG SỨ THẨM MỸ SAN DENTISTAn toàn đẹp mãi về sau
- Địa chỉ: Số 5 Kỳ Đồng, Phường Nhiêu Lộc, Thành phố Hồ Chí Minh
- Hotline: 0342 28 28 28
- Email: lienhe@sandentist.vn
- Website: www.sandentist.vn
- Fanpage: https://www.facebook.com/sandentistvn


