Sưng lợi sau khi ăn là biểu hiện của tình trạng bệnh lý răng miệng. Điều này ảnh hưởng đến sức khỏe răng miệng và cả cơ thể.
Tình trạng sưng lợi sau khi ăn là gì?
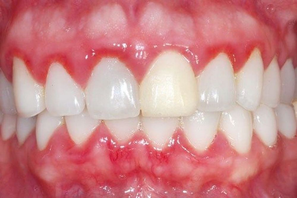
Lợi là mô bao phủ xương hàm và sưng lợi sau khi ăn có thể do các vùng tiếp xúc giữa lợi và răng. Các dấu hiệu nhận biết tình trạng này bao gồm lợi phình to và lồi ra ngoài, che phủ hầu hết các răng. Tình trạng sưng lợi thường do lợi bị nhạy cảm, kích ứng bởi các yếu tố độc hại bên trong khoang miệng. Tình trạng này khá nguy hiểm, nhưng người bệnh thường chủ quan, điều này có thể là những triệu chứng của các bệnh lý răng miệng.

Theo các chuyên gia, nếu gặp tình trạng sưng lợi sau khi ăn, người bệnh cần đến nha khoa để bác sĩ kiểm tra tình trạng răng miệng và xác định nguyên nhân cũng như biện pháp điều trị hiệu quả. Lợi sưng sau khi ăn có thể do dị ứng hoặc biến chứng nguy hiểm từ các bệnh lý răng miệng, do đó, việc tìm hiểu và giải quyết tình trạng này là rất quan trọng để duy trì sức khỏe răng miệng.
Trước khi đến nha khoa để bác sĩ kiểm tra, người bệnh nên ghi nhớ những loại thực phẩm đã tiêu thụ, vì có thể những loại thực phẩm này có thể khiến người bệnh bị dị ứng nên có thể gây ra tình trạng sưng lợi sau khi ăn. Ngoài ra, nếu tình trạng sưng lợi sau khi ăn trong khoảng thời gian dài có thể do gặp các vấn đề liên quan đến bệnh lý răng miệng.
Trước khi đến nha khoa để bác sĩ kiểm tra, người bệnh nên ghi nhớ các loại thực phẩm đã tiêu thụ, vì những loại thực phẩm này có thể gây dị ứng và dẫn đến tình trạng sưng lợi sau khi ăn.
Nguyên nhân gây ra tình trạng sưng lợi sau khi ăn
Người bị sưng lợi do dị ứng thức ăn sẽ gặp tình trạng lợi và các mô mềm xung quanh sưng lên. Các loại thực phẩm có thể gây dị ứng bao gồm lúa mì, sữa, trứng, đậu nành, đậu phộng và các loại hạt.

Các thành phần trong những loại thực phẩm này có thể gây dị ứng cho cơ thể, khiến hệ miễn dịch sản xuất Histamin – một chất gây viêm và dị ứng ở các mô mềm. Chất này có thể làm sưng ở bất kỳ chỗ nào trong cơ thể.
Việc tìm hiểu và tránh xa các loại thức ăn gây dị ứng là rất quan trọng để bảo vệ sức khỏe răng miệng và cơ thể. Ngoài ra, tình trạng sưng lợi sau khi ăn có thể do dị ứng với phấn có trong các loại hoa quả. Những người bị dị ứng có thể xuất hiện các dấu hiệu như ngứa ở miệng, họng và bị sưng môi, nướu.
Biến chứng từ sưng lợi
Tình trạng sưng lợi rồi biến mất có thể không đáng lo ngại. Tuy nhiên, nếu tình trạng sưng lợi kéo dài, người bệnh cần đến nha khoa để bác sĩ kiểm tra tình trạng sức khỏe răng miệng.
Tình trạng sưng lợi sau khi ăn thường xuyên có thể do ảnh hưởng của những bệnh lý răng miệng, trong đó những loại vi khuẩn sẽ được kích hoạt và gây nên tình trạng sưng viêm. Theo các chuyên gia, những bệnh lý phổ biến có thể gây nên tình trạng sưng viêm bao gồm bệnh viêm nướu, nha chu.

Ngoài những nguyên nhân do dị ứng hoặc biến chứng của các bệnh lý răng miệng, người bệnh sưng lợi sau khi ăn có thể do việc vệ sinh răng miệng không đúng cách hoặc dị ứng với thành phần trong kem đánh răng. Tình trạng sưng lợi sau khi ăn là một vấn đề phổ biến và không đơn giản.
Do đó, người bệnh cần quan tâm đến tình trạng sưng và đến nha khoa để bác sĩ kiểm tra tình trạng bệnh một cách chi tiết và chính xác hơn. Từ đó, bác sĩ sẽ có những biện pháp và hướng dẫn điều trị kịp thời.
Nếu bạn đang gặp các vấn đề về răng miệng, hãy liên hệ với nha khoa San Dentist qua website, fanpage hoặc hotline phía dưới để được tư vấn hỗ trợ kịp thời và điều trị chuyên sâu nhé!
NHA KHOA CHUYÊN SÂU RĂNG SỨ THẨM MỸ SAN DENTISTAn toàn đẹp mãi về sau
- Địa chỉ: Số 5 Kỳ Đồng, Phường Nhiêu Lộc, Thành phố Hồ Chí Minh
- Hotline: 0342 28 28 28
- Email: lienhe@sandentist.vn
- Website: www.sandentist.vn
- Fanpage: https://www.facebook.com/sandentistvn

